时间:2023-06-06
浏览量:5600
肝囊肿是一种常见的良性肝脏疾病,多无明显症状且无需治疗。肝包虫病,即肝包虫囊肿,它是一种寄生虫性肝囊肿,随着囊肿的逐渐长大,常见肝区胀痛,全身毒性症状逐渐明显,囊肿破裂后可引起过敏反应,甚至引发过敏性休克而死亡。肝包虫囊肿穿刺或手术,处理不当易形成囊肿扩散。近期,江苏省寄生虫病防治研究所附属门诊部接诊1例包虫病患者,因包虫病前后经历三次手术,目前患者已基本痊愈。

病例回顾
女性,28岁,江苏徐州市新沂市人(由宿迁市疾病控制中心转来)。主诉:自觉右上腹隆起1年余,无明显不适。
2022.5.30患者至新沂市某医院作腹部CT检查,示肝内巨大囊性灶2枚。2022.6.2行腹腔镜下肝部分切除术。术后病理结果示:肝囊性病变,囊腔内见粉状无结构物,囊壁纤维组织增生,伴淋巴、浆细胞浸润。考虑为肝包虫病。
2022.6.6患者至徐州某医院诊治,行超声引导下肝囊肿穿刺置管引流术。8.15徐州某医院作胸部CT检查,示:右肺下叶背段囊性占位。8.16行胸腔镜下肺叶节段切除术,术后病理结果示:右下肺囊性病变,囊壁周围纤维组织增生,囊壁内组织坏死,另见囊壁结构及疑似棘球蚴(包虫幼虫)结构。
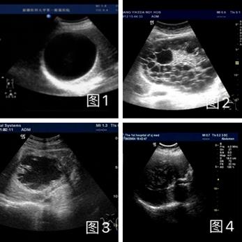
2022.9.5患者至我所门诊部就诊,寄生虫血清免疫学检查:棘球蚴(包虫)IgG阳性。B超检查示:肝右叶囊实性团块,大小约62×55×60 mm。超声显示囊壁增厚呈双层,内囊壁为折叠的膜状回声,呈“水中百合花征”。B超分型:CE-3,内囊塌陷型(见图1)。

图1 B超图像:肝囊型包虫病灶,内囊塌陷状
流行病学史
江苏省徐州市新沂市人,久住本地,无包虫病流行区旅居史,家中未养狗。
诊断
根据患者病史、症状、术后病理、B超以及CT影像检查结果、血清学检查(包虫抗体阳性),诊断为肝、肺包虫病。
治疗
门诊部医生在了解整个治疗过程后,考虑到手术及穿刺时囊肿被打开,棘球蚴存在扩散可能,与北京某医院联系作进一步治疗。
2022.9.21患者至北京某医院诊治,于2022.9.29行腹腔镜下肝部分切除术,术后病理符合肝包虫病,服阿苯达唑(肠虫清)一年。期间,定期(3个月左右)做B超检查一次。
2023.4.22患者至徐州某医院,腹部磁共振(MR)示:肝实质多发结节状及团片影,考虑肝脏术后改变;胸部CT检查:右肺术后改变。
2023.5.10患者至我所门诊部,B超检查示:肝脏术后改变,肝内钙化灶。
根据影像学检查结果,患者术后半年未发现新增病灶,继续口服阿苯达唑半年,期间定期复查。
科普讲解
包虫病是由棘球属绦虫的幼虫棘球蚴(又称包虫)寄生人体引起的一类疾病。棘球属绦虫公认有4个种,常见的有细粒棘球绦虫和多房棘球绦虫。棘球蚴可寄生于肝、肺、脑、骨、眼等器官,细粒棘球蚴引起疾病称囊型棘球蚴病,又称囊型包虫病;多房棘球蚴引起的疾病称泡型包虫病或多房性包虫病。

图2 细粒棘球绦虫生活史
流行病学
囊型包虫病主要流行于畜牧业生产为主的国家和地区,我国新疆、青海、甘肃、宁夏、内蒙、西藏及四川西部为流行区,江苏省为非流行区。

症状
包虫病人早期可无任何症状,往往在影像学检查中发现。随着囊肿的逐渐长大,寄生部位的占位性压迫症状以及全身毒性症状逐渐显现。肝包虫病常见肝区胀痛,肺包虫病常见呼吸急促、胸痛,脑包虫病有颅内压增高的一系列症状。晚期病人会出现黄疸、上腹部疼痛、腹水、乏力、消瘦。
诊断
除了询问流行病学史外,CT检查可用于肝、肺、脑型包虫病的诊断,而B超检查对于囊内容物的变化具有直观和形态分辨清晰的优点,对肝包虫病的诊断有决定性作用。血清免疫学试验是重要的辅助方法,包虫抗体多为阳性。
治疗
外科手术是包虫病首选治疗方法,但术后复发是一个值得注意的问题,国内外报道的手术复发率在7%~30.1%。包虫摘除术后,残腔的合理处理对预后至关重要。
药物治疗应在医生指导下,选择最合适的药物。常用药物为阿苯哒唑(肠虫清),不良反应较少,治疗效果个体差异大。吡喹酮亦可以考虑应用,或2者合并使用。
预防
感染犬(狐、狼)粪便中的虫卵可污染环境,犬、羊等动物皮毛上可黏附虫卵,当人抚摸动物或接触皮毛时,可将虫卵黏附在手上被误食。所以预防的重点在于注意个人卫生与饮食卫生,避免与犬及野生动物亲密接触。
医生提醒

1、包虫病为畜牧业区的常见病,但随着人口的流动以及包虫病流行区的狗、羊等动物流入我省,该病有可能在非流行区发生,一旦出现误诊、误治,将给患者造成难以弥补的伤害。
2、常见的肝囊肿与肝包虫囊肿不同,可通过B超加以鉴别。由于江苏省为非包虫病流行区,超声医生对包虫病诊断普遍缺少经验,而包虫病的超声影像有一定的特征(见图3)。

图3
肝包虫囊肿超声常见的四个类型:
1、单纯囊肿型 2、多子囊型
3、内囊塌陷型 4、坏死实变型
3、疑似肝包虫囊肿切莫盲目穿刺及手术,以免造成扩散。手术时应用20%高渗盐水处理囊腔,经皮穿刺引流吸出囊内容物后,再注入无水乙醇,可杀灭残留的原头节(包虫幼虫)。请有经验的医生做手术很有必要。
供稿:吴伟
编辑:尤璐
审核:王雷平、季文翔
版权所有 Copyright © 云南省寄生虫病防治所 滇ICP备05004264号-3 滇公网安备 53080202000356号
技术支持:川海科技
本站部分素材源于网络,如有侵权,请联系作者删除!