时间:2022-06-18
浏览量:3066
俗话说,病从口入
而一些不良的饮食习惯
也会让“虫病”进脑

你不信?那么
就让普洱市中心医院
神经内科医生闫自坤
为大家科普一下吧!

近日
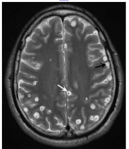
鲁先生因左下肢抽搐1周
到普洱市中心医院
影像学检查显示如下:

上图是不是没看懂?
简单来说
就是鲁先生诊断为脑囊虫病
诊断明确后给予驱虫治疗
幸运的是,经治疗后鲁先生
未再出现抽搐,症状好转
看到这里
你是不是急切地想知道
鲁先生是怎么患上
“脑囊虫病”的?
我们继续!
脑囊虫病简介

脑囊虫病是由寄生虫(猪绦虫为主)所传染的一种顽固性颅脑内疾病。该病约占囊虫病的80%以上。是由于食用了猪肉绦虫虫卵,发育成囊尾蚴,经消化道穿出肠壁进入肠系膜小静脉,再经体循环而到达脑膜、脑实质以及脑室内。
症状
脑囊尾蚴病患者症状轻重不等,与囊尾蚴的数量、寄生部位、病变程度和阶段、及患者免疫力有关,常有癫痫、慢性头痛、视力及听力减退、脑积水、脑膜炎、痴呆和偏瘫等中枢神经系统症状。
治疗
药物治疗:常见的药物有吡喹酮、丙硫咪唑等(需在医生指导下服用)。
手术治疗:确诊为脑室型者应手术治疗。其次,对颅内压持续增高,神经体征及CT证实病灶甚局限的患者亦可考虑手术治疗。
驱绦虫治疗:对肠道仍有绦虫寄生者,为防止自身再次感染,应行驱绦虫治疗。常用的药物为灭绦灵(氯硝柳胺)。
预防
不吃生菜、生肉,饭前便后要洗手,以防误食虫卵。另外,猪肉最好在零下12摄氏度至零下13摄氏度的温度中冷冻12小时后食用,这样可以把囊尾蚴全部杀死。如果发现患病,要立即就医。
医生提醒
一旦发现患上囊虫病应尽早前往医院积极药物治疗方可改善预后。如不重视,一些患上脑囊虫病的严重患者还需开颅手术治疗,切除较大的虫体。研究发现,猪囊尾蚴在人体组织内可存活3至10年之久。一般情况下,潜伏期多在1个月到5年内,最长可达30年。所以,尽早治疗很关键。

-云南省寄生虫病防治所-
来源丨普洱市中心医院(思茅区人民医院)神经内科
作者丨闫自坤/文 蜕/漫画绘制
版权所有 Copyright © 云南省寄生虫病防治所 滇ICP备05004264号-3 滇公网安备 53080202000356号
技术支持:川海科技
本站部分素材源于网络,如有侵权,请联系作者删除!